PHILADELPHIA
MAIN LINE/PAOLI
MARGATE
EMAIL US

What We Treat
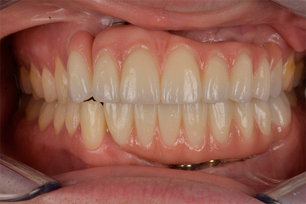
For more than 70 years, Amsterdam Dental Group has had a reputation for specializing in the treatment of the most complex dental cases. It is our experience and continued research in the use of advanced technology combined with compassionate care that makes us uniquely qualified to manage the dental reconstruction of patients with medical conditions affecting their teeth.
Ectodermal Dysplasia (ED) is a group of rare genetic disorders generally passed on from parent to child and can impact anyone – no matter gender or race. While sometimes diagnosed at birth, milder cases of ED may not be uncovered until later and can involve consultations with various medical professionals.
In the simplest terms, those suffering with ED have an absence or abnormal development of hair, skin, nails, sweat glands, mucous membranes and yes, teeth. At times, patients are missing only one or two of their adult teeth creating an esthetic concern. However, many patients with ED are born without most or all of their adult teeth making chewing and speaking a challenge.
Amsterdam Dental Group is proud to be part of The National Foundation for Ectodermal Dysplasia (NEFD) and named one of its Dental Treatment Centers This partnership is meaningful specifically for the countless individuals who have lifelong dental needs as a result of ectodermal dysplasias at any age. Children from the age of 2 through adolescence and adulthood can benefit from proper treatment, including improved speech, facial appearance and emotional well-being.


Cleft palate is one of the most common birth defects affecting 1,600 newborn babies in the United States every year. This condition can have a major impact on the quality of life for affected individuals of any age, as it can result in speech impediments, difficulty eating and drinking, hearing deficiencies and dental development issues. For children with clefts, they often have dental problems such as missing, malformed or displaced teeth.
Treatment to restore a cleft patient’s dental function can range from simple composite restorations to complex reconstruction using dental implants – a comprehensive, personalized plan that will almost always require a team approach with plastic surgeons and orthodontists.
Dental treatment is not only important to help restore normal function but also to improve esthetics of these patients’ faces and smiles. It will give them confidence at those important times in their young lives.




Dental treatment following facial trauma is a critical component of a patient’s recovery, aiming to restore both function and esthetics while managing pain and preventing future complications. Facial trauma can result in a range of dental injuries, including chipped or broken teeth as well as damage to the supporting bone. Depending on the severity and type of injury, treatment approaches vary but typically involve a combination of surgical, restorative and sometimes orthodontic treatments.
In cases where teeth are displaced or fractured, immediate care may include repositioning the teeth and stabilizing them with splints. Fractured teeth might require bonding, crowns or fillings, while severely damaged teeth may necessitate root canal therapy or extractions. More complex cases, such as those with fractures to the jaw or significant damage to a patient’s teeth, often require the expertise of multiple specialists. Our doctors are trained in the treatment of such cases and routinely collaborate with other specialists, including , oral or maxillofacial surgeons, endodontists and orthodontists, to achieve successful outcomes.
Regardless of the case itself, the overall goals of dental treatment after facial trauma are to manage acute pain, prevent infection and restore full dental function. Yet given the often-visible nature of facial injuries, esthetics is important to help patients regain confidence and return to their normal daily activities. Each treatment plan is highly individualized and may require multiple stages over weeks or months to achieve a successful outcome.




Dental treatment and reconstruction following head and neck cancer treatment play a vital role in restoring oral function, esthetics and the overall quality of life for patients. Cancer therapies such as radiation, chemotherapy, and surgery often have severe side effects on the oral cavity, leading to issues like dry mouth (xerostomia), increased tooth decay, gum disease, and in some cases, loss of teeth and supporting bone. These side effects can impact the ability to eat, speak and maintain proper oral hygiene, making dental rehabilitation essential.
Treatment typically begins with more stringent preventive care, such as frequent fluoride therapy and customized dental hygiene plans to protect the teeth and gums after treatment. In cases where teeth have been significantly impacted or lost, procedures like tooth extractions, dental implants or prosthetics may be necessary to restore function and appearance. In many cases, resection of tumors in the oral cavity leaves large defects that require reconstructive surgery and restoration with advanced techniques using dental implants.
While the goals of dental reconstruction are to restore the patient’s ability to chew, speak and smile, focusing on long-term oral health maintenance is also important to prevent future complications. A multidisciplinary approach, involving close collaboration between oncologists, oral surgeons, otolaryngologists and other dental specialists, is critical to achieving the best possible outcome for the patient affected by the treatment of head and neck cancer.




How We Treat
At Amsterdam Dental Group, we care and understand how oral conditions associated rare genetic and other disorders can be impactful. The same is true for other conditions resulting from facial trauma and non-dental disease. For patients and their families, it can be overwhelming. What we also know is that these disorders and conditions are treatable with the right team.
Our team consists of seven dual-trained specialists who have the training and experience to manage the most complex dental cases. However, treatment of cases that involve genetic disorders, cancer and trauma will require a team of not only dental specialists, but also physicians and surgeons. Our practice has strong relationships with medical specialists at the University of Pennsylvania and Children’s Hospital of Philadelphia (CHOP) and routinely coordinate care with these colleagues to help patients receive the best care possible.

Philadelphia Office
100 South Broad Street
Suite 2000
Philadelphia, PA 19102
215-568-8130
Philadelphia Office Hours:
Mon-Thurs: 8:30 a.m. to 5:00 p.m.
Friday: 8:30 a.m. to 4:00 p.m.
Main Line/Paoli Office
1800 East Lancaster Avenue
Suite G
Paoli, PA 19301
610-651-5611
Main Line/Paoli Office Hours:
Monday: 8:00 a.m. to 5:00 p.m.
Tuesday: 9:00 a.m. to 6:00 p.m.
Wednesday: 7:30 a.m. to 5:00 p.m.
Thursday: 7:30 a.m. to 5:00 p.m.
Friday: 8:00 a.m. to 3:00 p.m.
Margate Office
8512 Ventnor Avenue
Suite 2
Margate, NJ 08402
609-822-3663
Margate Office Hours:
Monday: 7:30 a.m. to 5:30 p.m.
Tuesday: 7:30 a.m. to 5:30 p.m.
Wednesday: 7:30 a.m. to 5:30 p.m.
Thursday: 7:30 a.m. to 5:30 p.m.
Friday: 7:30 a.m. to 3:00 p.m.